Skip to content
Main Menu
Search for:
Search
Search
Appendix
Cerebellum
Epididymis
Esophagus
Gall Bladder
Ganglion
History of Superarenal gland
Kidney
Liver
lymphnode
Muscle
Ovary
Pituitary
Prostate
Salivary Gland
Sample Page
Spleen
Stomach
Testis
Thyroid and Parathyroid
Tongue
Ureter
Urinary Bladder
Muscle
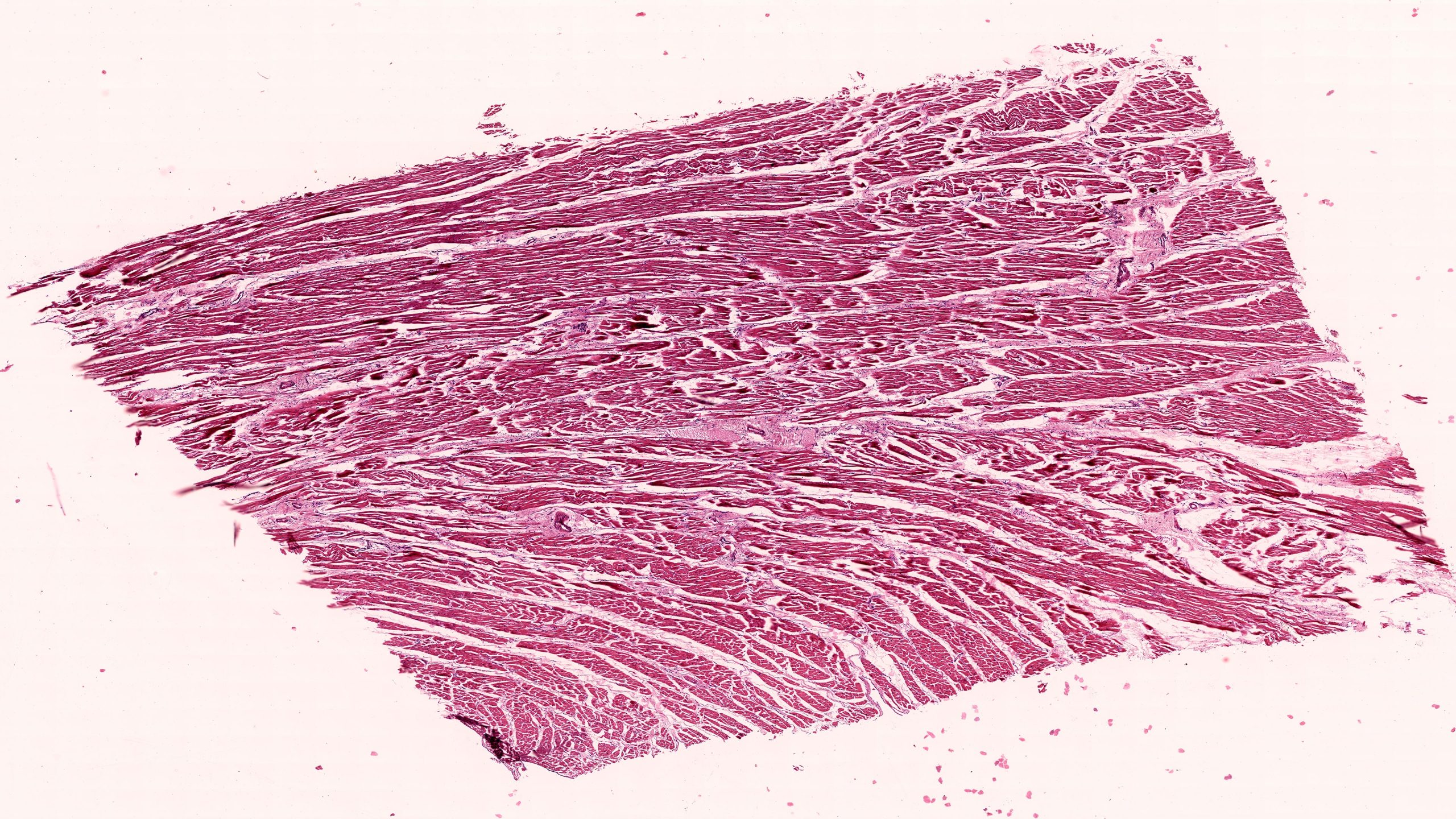
Cardiac Muscle 4X
Cardiac Muscle 10X
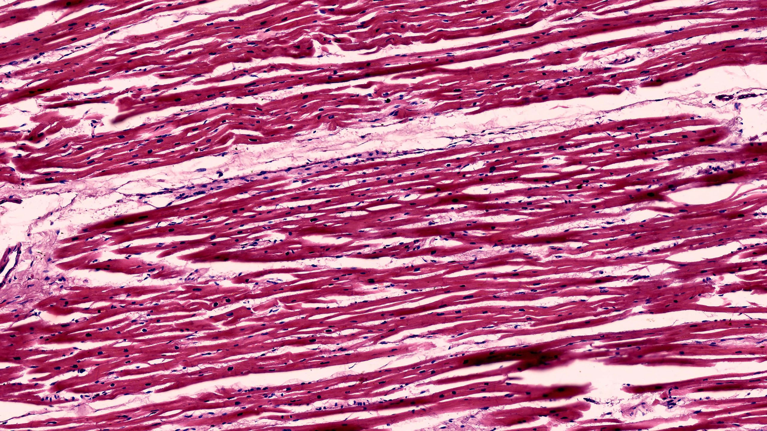
Cardiac Muscle 40X
Scroll to Top