Ureter

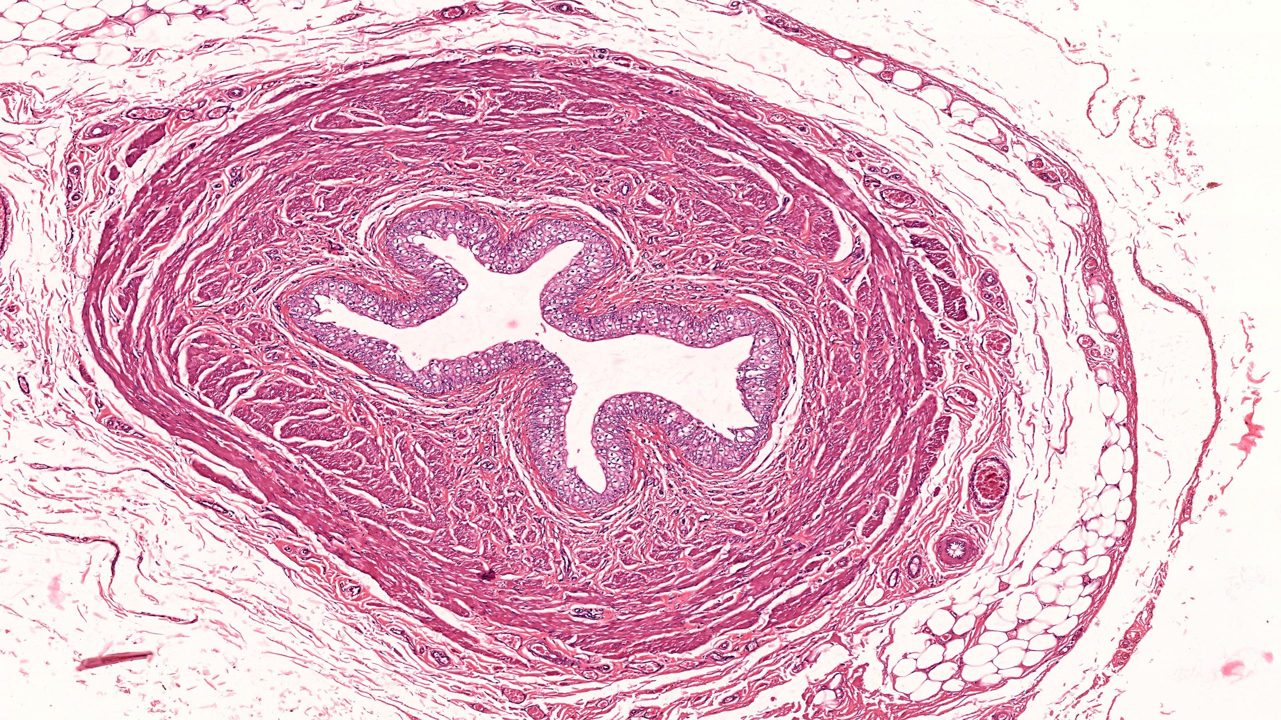
Ureter 4X

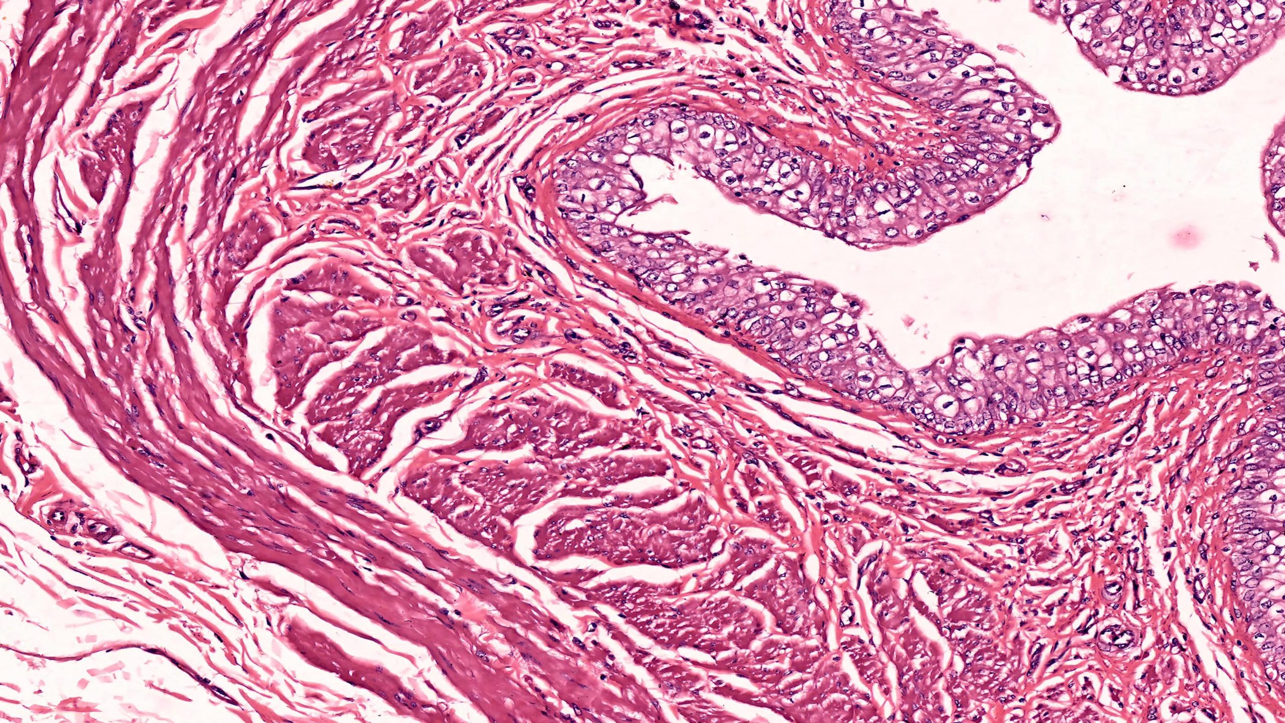
Ureter 10X

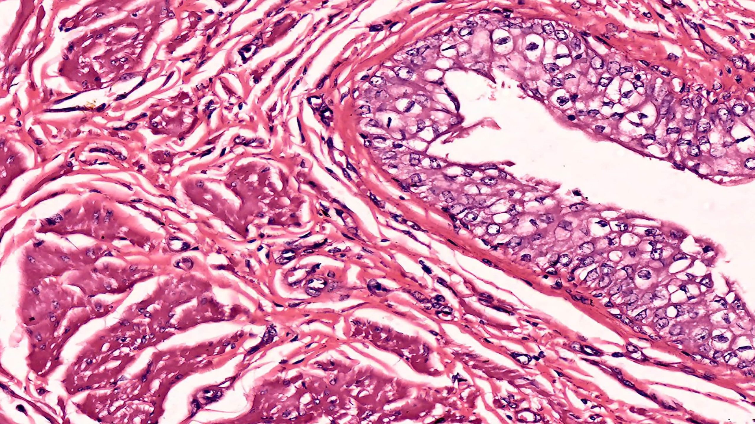
Ureter 40X



        Scroll to Top