Skip to content
Main Menu
Search for:
Search
Search
Appendix
Cerebellum
Epididymis
Esophagus
Gall Bladder
Ganglion
History of Superarenal gland
Kidney
Liver
lymphnode
Muscle
Ovary
Pituitary
Prostate
Salivary Gland
Sample Page
Spleen
Stomach
Testis
Thyroid and Parathyroid
Tongue
Ureter
Urinary Bladder
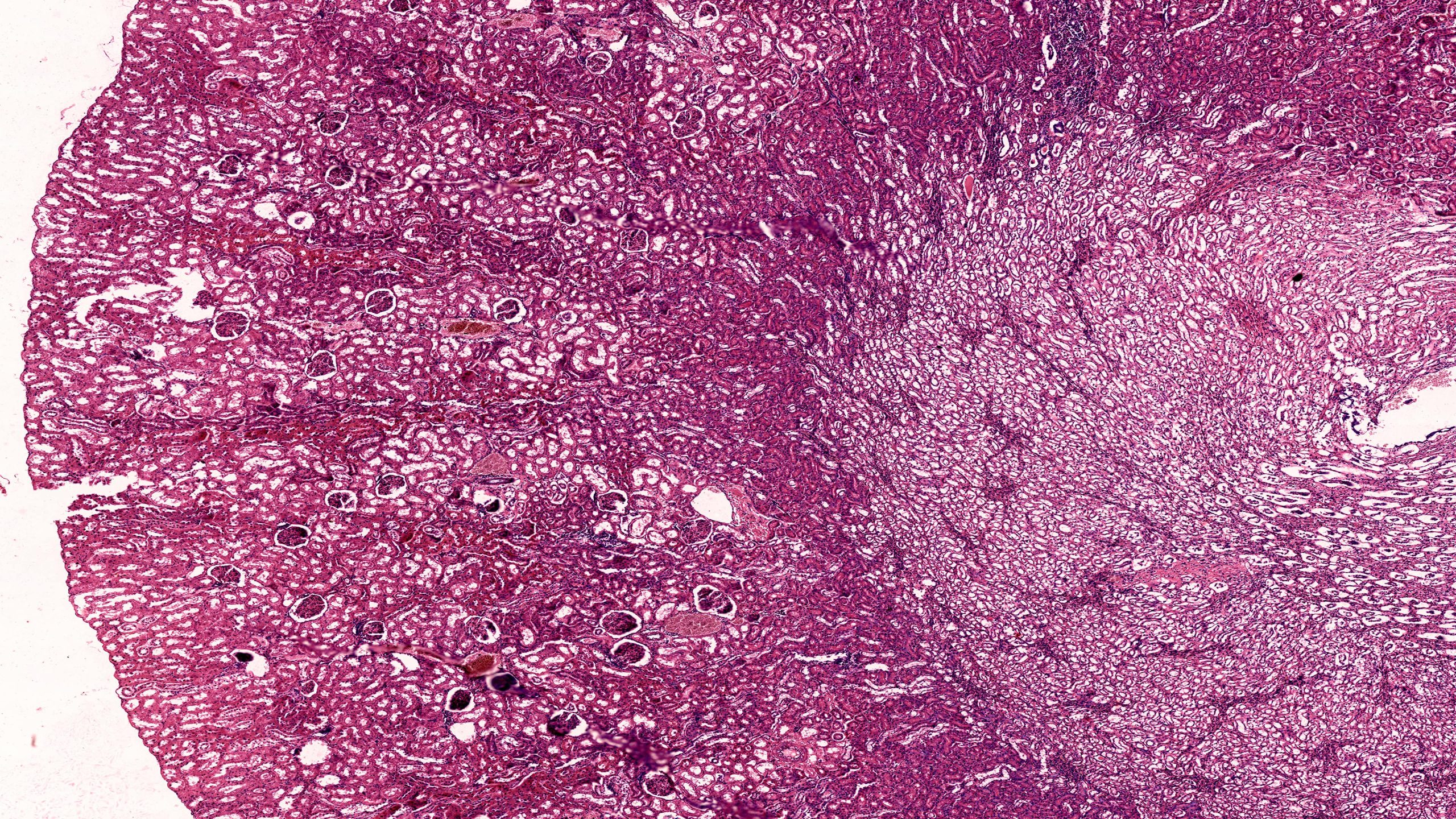
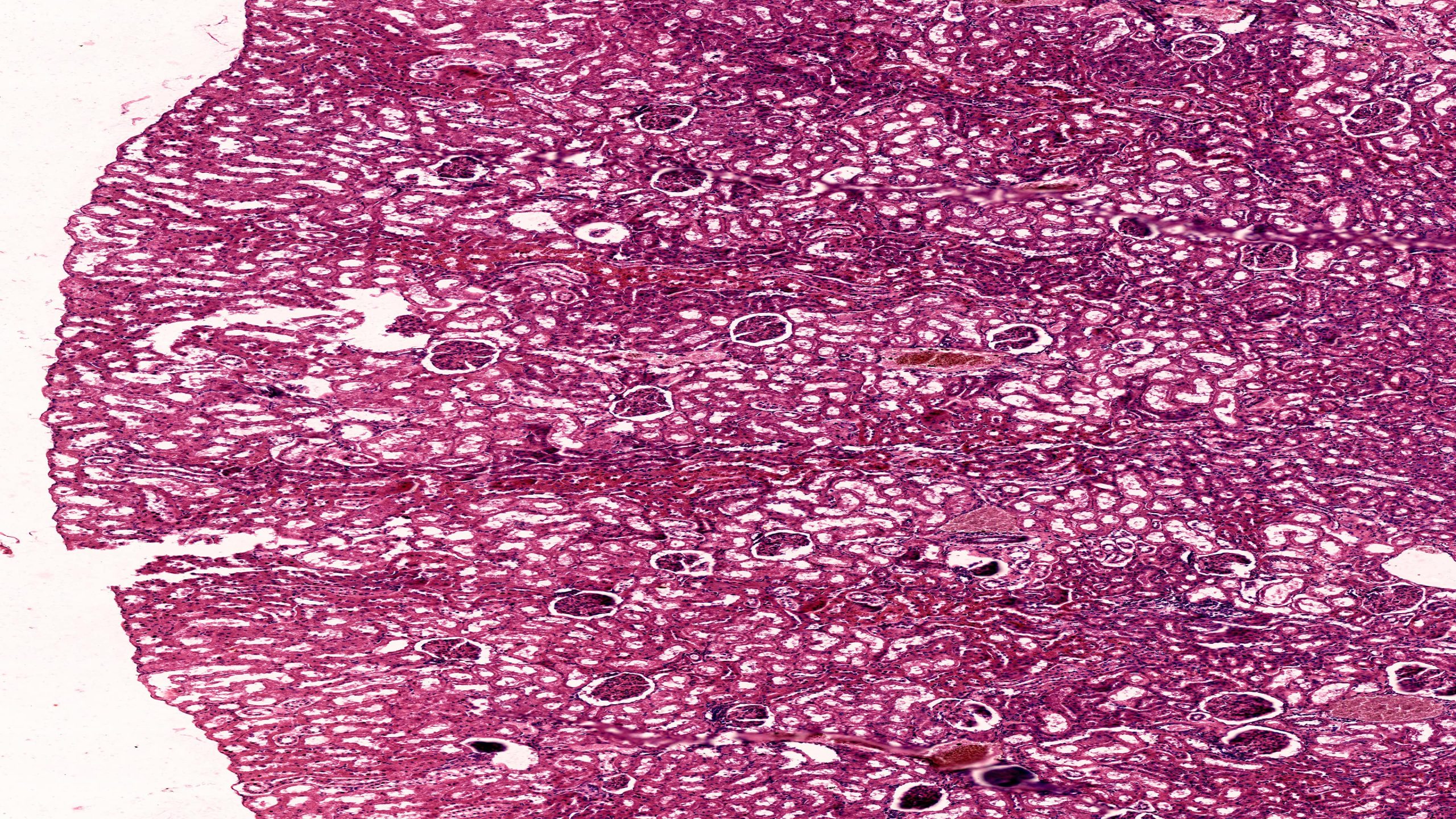
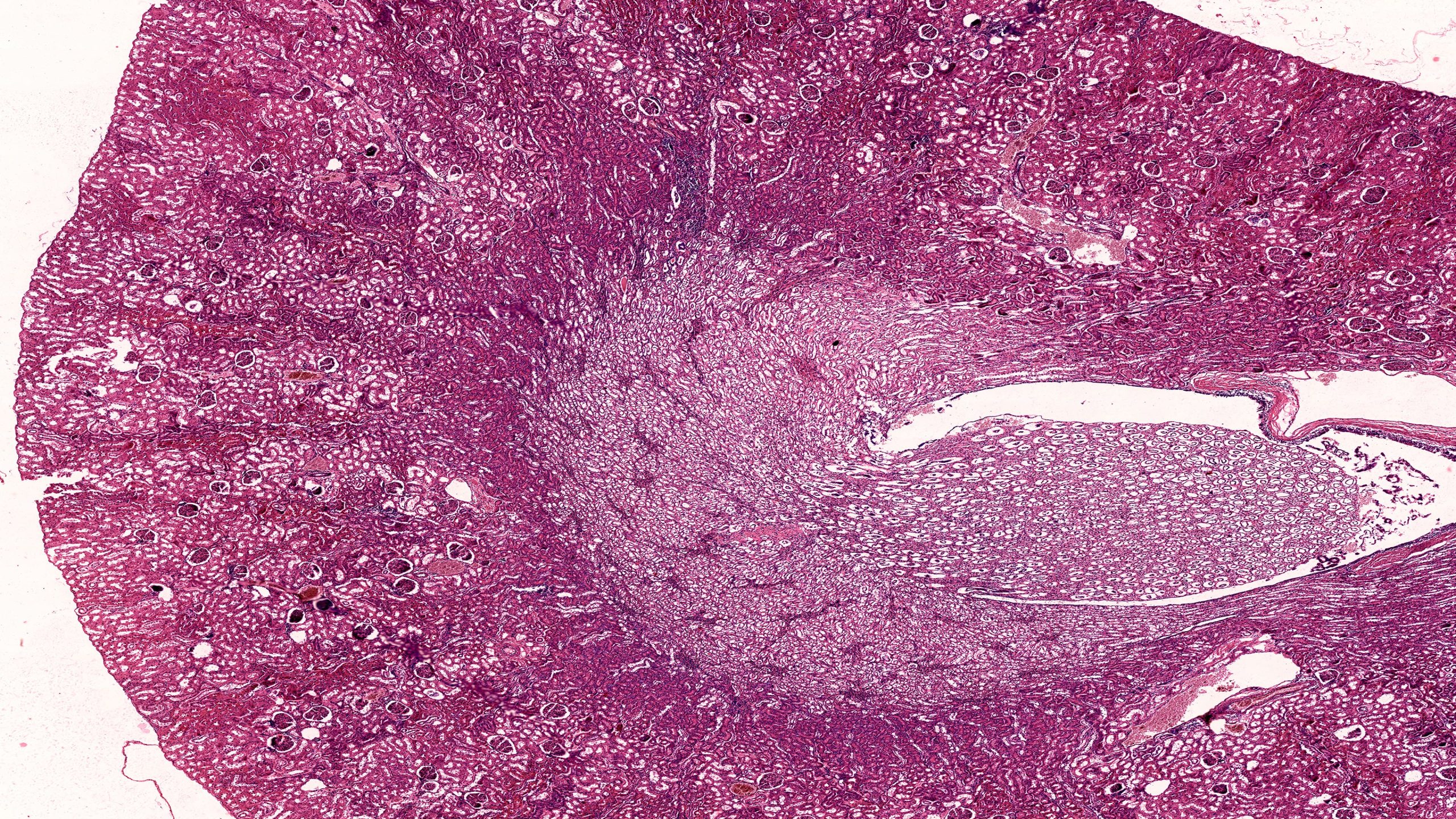
Kidney
kidney 4X
kidney 10X
kidney 40X
Scroll to Top