Salivary Gland

Mixed Salivary Gland 4X

Mixed Salivary Gland 10X

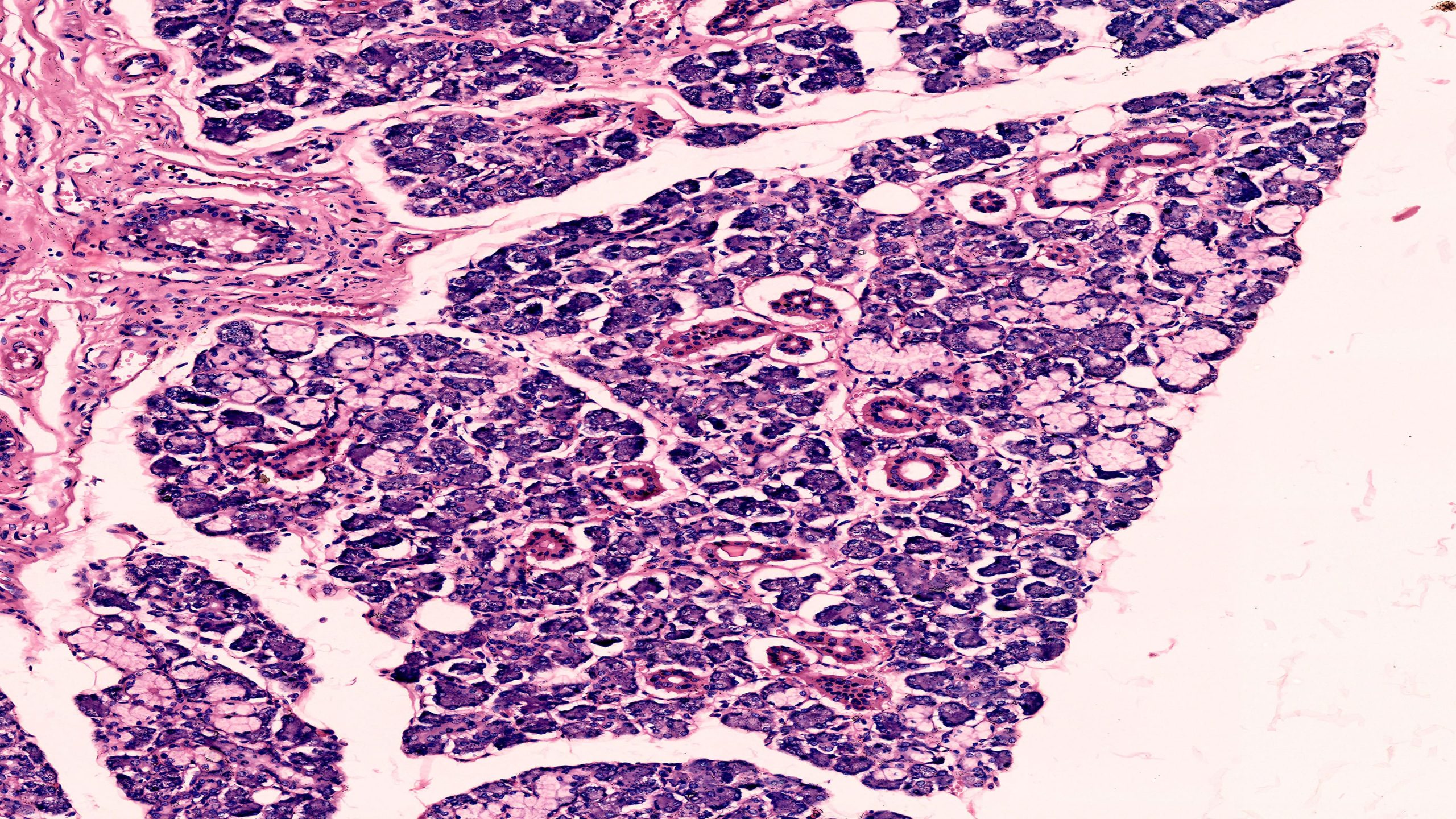
Mixed Salivary Gland 40X

Mucous Salivary Gland 4X

Mucous Salivary Gland 10X

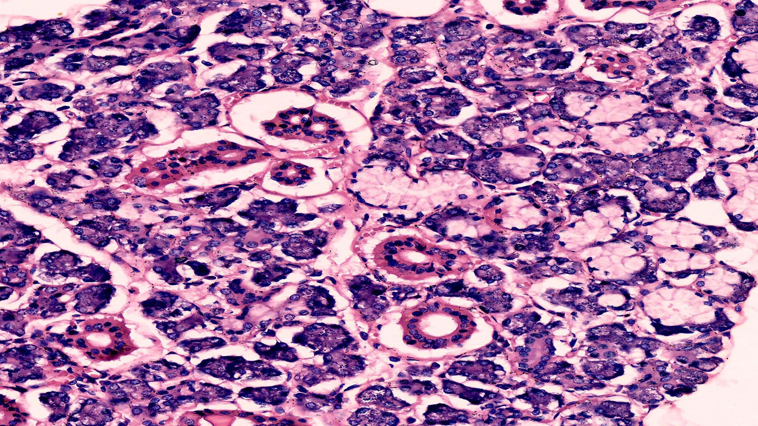
Mucous Salivary Gland 40X






              Scroll to Top